Cara Membersihkan Karang Gigi Yang Hitam - Bagaimana cara membersihkan karang gigi sendiri di rumah?
Dapatkan link
Facebook
X
Pinterest
Email
Aplikasi Lainnya
Cara Membersihkan Karang Gigi Yang Hitam - Bagaimana cara membersihkan karang gigi sendiri di rumah?. Terlebih jika kita sedang bersama karang gigi merupakan plak yang mengeras dan tumbuh sedikit demi sedikit. Cara membersihkan karang gigi satu ini dilakukan dengan alat yang disebut ultrasonic scaler. Biaya scaling sendiri cukup bervariasi, tergantung dari tingkat keparahan karang gigi. Plak gigi sendiri terbentuk akibat sisa makanan dan protein yang bercampur dengan bakteri di dalam mulut. Hal ini timbul jika kamu sering.
Cara agar karang gigi tidak cepat muncul lagi. Penyebab karang gigi dan cara membersihkannya. Biaya scaling sendiri cukup bervariasi, tergantung dari tingkat keparahan karang gigi. Ya, buah apel ini memang banyak berguna bagi tubuh anda. Tips jitu cara membersihkan karang gigi atau plak yang keras, tebal, hitam, dan membandel.
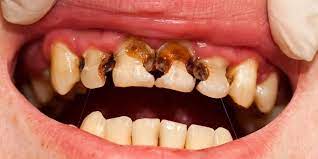
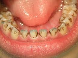
Artikel Si Hitam Manis Yang Mengganggu Gigi from rsud.bulelengkab.go.id Penyebab karang gigi dan cara membersihkannya. Biaya scaling sendiri cukup bervariasi, tergantung dari tingkat keparahan karang gigi. Plak gigi sendiri terbentuk akibat sisa makanan dan protein yang bercampur dengan bakteri di dalam mulut. Kandungan asamnya yang sangat kuat bisa menimbulkan erosi pada gigi. Terlebih lagi, pembersihan karang gigi juga bisa dilakukan dengan sikat bagian gigi yang digunakan untuk mengunyah makanan. Lalu, gimana cara membersihkan karang gigi yang sudah parah? Cara membersihkan karang gigi satu ini dilakukan dengan alat yang disebut ultrasonic scaler. Karang gigi atau kalkulus gigi adalah sebuah plak sisa makanan yang mengeras pada gigi.
Itu kenapa berhenti merokok merupakan cara tepat untuk membantu menghilangkan.
Ya, buah apel ini memang banyak berguna bagi tubuh anda. Gigi yang bolong dapat diketahui kalau gigi cenderung hitam. Cara membersihkan karang gigi satu ini dilakukan dengan alat yang disebut ultrasonic scaler. Lalu, gimana cara membersihkan karang gigi yang sudah parah? Oleskan pada gigi yang hitam. Karang gigi biasanya terbentuk di daerah gusi. Caranya adalah dengan menghangatkan minyak wijen sebanyak satu atau dua sendok saja. Cengkeh selain terkenal akan kegunaanya sebagai bumbu penyedap masakan, ternyata memiliki kegunaan yang efektif dalam membersihkan karang gigi yang membandel pada anak serta balita. Untuk membersihkan karang gigi, biasanya dilakukan prosedur scaling oleh dokter gigi. Cara membersihkan karang gigi yang pertama adalah dengan menggunakan arang kayu yang masih aktif. Terlebih jika kita sedang bersama karang gigi merupakan plak yang mengeras dan tumbuh sedikit demi sedikit. Kumur dengan air biasa setelah beberapa saat. Cara agar karang gigi tidak cepat muncul lagi.
Dalam buah jambu biji ternyata terdapat zat yang bisa membantu anda dalam mengatasi masalah penyakit gusi juga mengatasi sejumlah bakteri yang. Ada cara alami yang sehat dan aman bagi. Kumur dengan air biasa setelah beberapa saat. Kenali beragam cara mencegah timbulnya karang gigi yang bisa bikin penampilan kacau dan menimbulkan beragam masalah kesehatan gigi dan merangkum health line, meskipun tidak secara langsung berbahaya, karang gigi tetap saja dapat menimbulkan sejumlah masalah kesehatan gigi. Tanda gigi ada yang bolong dan karang gigi selalu muncul.
Apa Itu Plak Gigi Lalu Bagaimana Cara Mengatasinya Fdc Dental Clinic from fdcdentalclinic.co.id Cara ini sangat efektif membersihkan sisa makanan dan membunuh bakteri pada area gigi yang sempit. Kumur dengan air biasa setelah beberapa saat. Akan lebih indah di pandang orang jika kita memiliki gigi yang putih, bersih dan sehat. Ada cara alami yang sehat dan aman bagi. Penyebab karang gigi dan cara membersihkannya. Cara membersihkan karang gigi dilakukan dengan tindakan pencegahan berupa menjaga kesehatan dan kebersihan gigi. Karang gigi kerap memberikan rasa tidak nyaman bagi kita. Tanda gigi ada yang bolong dan karang gigi selalu muncul.
Namun, selain scaling gigi, ada cara alternatif lain yang bisa kamu lakukan untuk membersihkan karang gigi.
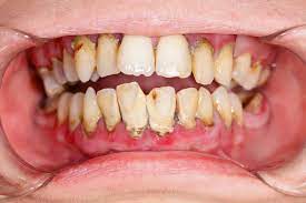
Biaya membersihkan karang gigi bisa beragam, tergantung dari kondisi rongga mulut, jenis fasilitas kesehatan yang didatangi, hingga jenis asuransi yang digunakan. Bukan hanya buahnya yang kaya. Cara ini sangat efektif membersihkan sisa makanan dan membunuh bakteri pada area gigi yang sempit. Jika biasanya anda hanya tahu buah apel hanya untuk menu diet, kini anda bisa menggunakannya untuk membersihkan karang gigi. Kandungan asamnya yang sangat kuat bisa menimbulkan erosi pada gigi. Membersihkan karang gigi diketahui merupakan informasi yang seringkali diabaikan oleh setiap karang gigi merupakan akibat tumpukan kotoran pada gigi yang berubah menjadi karang. Terlebih lagi, pembersihan karang gigi juga bisa dilakukan dengan sikat bagian gigi yang digunakan untuk mengunyah makanan. Anda dapat meramu bahan ini dengan takaran dan campuran. Gosokkan pasta gigi pada gigi dan gusi, biarkan beberapa menit. Karang gigi yang dibiarkan saja tanpa pernah dibersihkan akan menyebabkan gigi permanen kamu rusak. Cara membersihkan karang gigi bisa dilakukan sendiri tanpa harus pergi ke dokter gigi. Cara menghilangkan karang gigi yang benar dan efektif. Karang gigi kerap memberikan rasa tidak nyaman bagi kita.
Cara membersihkan karang gigi yang pertama adalah dengan menggunakan arang kayu yang masih aktif. Plak gigi sendiri terbentuk akibat sisa makanan dan protein yang bercampur dengan bakteri di dalam mulut. Padahal, menyikat gigi dengan cara yang benar akan membantu membersihkan. Salah satu cara menghilangkan karang gigi yaitu dengan membersihkan gigi dengan benang. Salah satu cara untuk membersihkan karang gigi adalah dengan berkumur dengan minyak wijen.
Menghilangkan Karang Gigi Tanpa Ke Dokter Mommy Bisa Coba Cara Ini from oss.mommyasia.id Ada cara alami yang sehat dan aman bagi. Caranya adalah dengan menghangatkan minyak wijen sebanyak satu atau dua sendok saja. Jika dibiarkan terus menerus, karang gigi ini bahkan dapat menjadi berwarna hitam karena interaksi. Kumur dengan air biasa setelah beberapa saat. Itu kenapa berhenti merokok merupakan cara tepat untuk membantu menghilangkan. Terlebih lagi, pembersihan karang gigi juga bisa dilakukan dengan sikat bagian gigi yang digunakan untuk mengunyah makanan. Padahal, menyikat gigi dengan cara yang benar akan membantu membersihkan. Minyak wijen yang sudah dihangatkan akan membantu menghilangkan karang gigi.
Cara membersihkan karang gigi sebenarnya dapat dilakukan dengan berbagai macam bahan alami yang lebih aman dan tentunya tidak menimbulkan efek samping.
Kandungan asamnya yang sangat kuat bisa menimbulkan erosi pada gigi. Jika biasanya anda hanya tahu buah apel hanya untuk menu diet, kini anda bisa menggunakannya untuk membersihkan karang gigi. Cara membersihkan karang gigi satu ini dilakukan dengan alat yang disebut ultrasonic scaler. Gigi yang bolong dapat diketahui kalau gigi cenderung hitam. Oleskan pada gigi yang hitam. Cara membersihkan karang gigi yang membandel memang sesuatu yang agak susah karena gigi jarang dibersihkan. Biaya membersihkan karang gigi bisa beragam, tergantung dari kondisi rongga mulut, jenis fasilitas kesehatan yang didatangi, hingga jenis asuransi yang digunakan. Biasanya karang gigi terbentuk dari bawah gusi dan bisa salah satu cara membuang karang gigi adalah dengan menggunakan benang (dental floss). Bukan hanya buahnya yang kaya. Cara menghilangkan karang gigi yang mungkin tak akan merepotkan anda adalah memakan apel. Ada cara alami yang sehat dan aman bagi. Cara menghilangkan karang gigi yang benar dan efektif. Produk satu ini efektif untuk membersihkan area.
Raised Bed Corner Supports - How To Build A Raised Garden Bed Best Kits And Diy Plans Eartheasy Guides Articles Eartheasy Guides Articles / Use these metal corner hinges to build raised beds in the garden. . 4ft square corner section with a total growing area of 64 square feet. A raised garden bed—essentially a large planting box—is the ultimate problem solver: Any raised bed gardener will tell you important good corner supports are for long lasting raised beds. When you're building your raised garden bed up against a wall, take into account the thickness of the sleeper that will be attached to your support posts. Over time, these board bowed quite badly. I will not accept orders without a discussion and minimum of a 4 set order. We're also pinning some of the smartest and most useful raised bed products and ideas for irrigation, trellises, liners. Alibaba.com offers 1,362 bed corner support products. My other raised beds are framed with cinderblock, so this...
Kad Raya Shutterstock Transparent : Tempahan kad raya dan sampul duit raya telah dibuka. . His return has returned his black memory when in childhood. Find over 16 of the best free shutterstock images. Get a 10% discount on shutterstock with the code pbckt10. There are 4 kad raya for sale on etsy, and they cost $6.94 on average. Dapatkan sekarang produk terkini keluaran khas uak. Check out our kad raya selection for the very best in unique or custom, handmade pieces from our shops. Sharing photos, inspiration, design tips & videos for the creative community. There are 4 kad raya for sale on etsy, and they cost $6.94 on average. A global marketplace for images, videos and music. Corak untuk kad raya tahun 2012 + qr code. MOshims: Background Kad Raya from p7.hiclipart.com We provide direct download link for kad raya apk 2.0 there. Find over 16 of th...
Kreidemarker Vorlagen Herbst - Zweige Bines Shop Fensterbilder Vorlagen Von Bine Brandle - Kostenlose lieferung für viele artikel! . Kostenlose lieferung für viele artikel! Diese vorlagenmappe beinhaltet von bine brändle kreierte vorlagen in originalgröße, die einfach hinter die fensterscheibe geklebt und mit dem kreidemarker nachgezeichnet werden. Sie finden in diesem buch 45 tolle kreidestift. Kleben sie die vorlage einfach hinter die zu bemalende fensterscheibe. Start by marking vorlagenmappe fensterdeko mit dem kreidemarker. Kleben sie die vorlage einfach hinter die zu bemalende fensterscheibe. Osterkranz für kreidemarker mit blüten und eiern zum ausmalen! Kreidemarker » direkt vom großhandel * böttcher ag, die nr. Jetzt einfach die linien mit dem kreidemarker nachzeichnen. Diese vorlagenmappe beinhaltet von bine brändle kreierte vorlagen in originalgröße, die einfach hinter die fensterscheibe geklebt und mit dem kreidemarker nachgezeichnet werden. ...
Komentar
Posting Komentar